広島駅から徒歩6分の歯科医院
インプラント・セラミック治療・マウスピース矯正

「少し気になるけど、うちの子は泣き虫だし恐がりだから、歯医者さんには行きにくいわ」という方、いらっしゃいますよね?
私にも小さな息子がいますので、気持ちがよくわかります。
愚図ったり、泣き騒いでも決して怒ったり、困ったりしませんので、安心してご来院ください。治療の最後は、笑って元気に帰ってもらえるように、一緒にがんばりましょう。

慣れてもらう
診療室の独特な雰囲気が、お子さまを緊張させてしまうかもしれません。まずは、スタッフに慣れてもらい、スムーズに入ってもらえるようにします。

簡単な治療からスタート
次に、ユニットの上に座ってもらい、治療器具に少しずつ慣れてもらえるように、簡単な治療からスタート。徐々に必要な治療へと進めていきます。

ママさんにもお願い
どんなに恐怖心を与えないようにしても、歯医者さんへ行くことは、小さなお子さまにとっては大きなストレスに。治療が終わったら、たっぷりほめてあげてくださいね。
お子様が慣れてくるまでが大切です、一緒に頑張って行きましょう!
歯医者が嫌いなお子様は大変多く、そういったお子様ほど、「歯医者に慣れる」ことが大切になってきます。恐怖心の強いお子様ですと、通院回数などが増え、お母様は少し大変かと思いますが、徐々にお子様が慣れてくると治療がスムーズに進み、次回以降の通院を怖がらなくなってきます。
スタッフもサポートしますので、一緒に頑張っていきましょう。
(※痛みが強い場合や緊急を要する症状の場合を除きます。)


子供の頃から始める予防の習慣が大切
乳歯はむし歯になっても、すぐ抜け替わるから大丈夫と気軽に考えていませんか?子供のむし歯は永久歯の生えかたなどに影響し、人生に関わる歯並び問題に影響してきます。
幼い時期は、むし歯になった後の治療よりも積極的な予防が大切なのです。
すぐにでも、定期検診やフッ素の予防処置、食生活の見直しなどで、リスクを減らしてあげましょう。

歯みがき、フロスから
汚れがたまりやすいところを集中的に短時間でしっかり磨く練習を、お子さまがご機嫌なときにやってあげましょう。
歯と歯の隙間の汚れを取るフロス(糸ようじ)の効果はとても大きいですから、毎日の習慣にできるよう、ぜひ挑戦してみてくださいね。

おやつの食べ過ぎ注意
歯の健康づくりに甘いものは要注意。幼い頃はできるだけ、チョコレートやあめなどお砂糖がたっぷり入ったおやつは控えましょう。
甘いものが習慣になってしまっている場合は、一日1つだけね、とか、お誕生日だから特別よ、とルールを作るのもいいでしょう。

よく噛んで食べる
よく噛むと、むし歯から歯を守ってくれる唾液がたくさん出ます。
「食べやすさ」も大切ですが、大きめに切ったニンジンやジャガイモをカレーに入れるなど、「よく噛んで食べる」ようなメニューを考えることをおすすめします。

ジュースの飲み過ぎ注意!
お菓子だけじゃなく、炭酸のジュースやスポーツドリンクはもちろん、100%果汁のジュースにも糖分がたっぷり。毎日飲むには、お茶か牛乳をお勧めします。お菓子じゃないからと歯みがき後にジュースは飲んではいけませんよ。

歯にいいケア用品を
例えば、歯の質を強くしてむし歯をできにくくするフッ素配合の歯みがき粉やフッ素ジェルなどを使ってみてはどうでしょう。
また、むし歯の原因となる歯垢や酸を作らないキシリトールの入ったガムをおやつの代わりにしたり、上手に歯みがきできたときのご褒美にキシリトールタブレットをあげるのもいいですね。

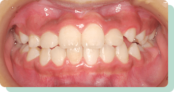
お子様の歯並びが気になり、早く矯正しなければと焦る方もいらっしゃるかもしれませんが、お子様一人一人の成長が異なるように、歯の成長も異なるのでお子様の成長にあわせた治療が大切です。
まずはお子様の歯の状態や成長度合いを正確に把握することが大切です。当クリニックではしっかりとした検査と説明、治療提案を心掛けています。
少しでも気になる方はまずご相談ください。

むし歯、歯周病の予防
歯並びが悪いと食べものや歯垢がたまって、むし歯になりやすくなります。 歯並びを整えると歯磨きがしやすくなり、歯の病気の予防になりますよ。

噛む能力の向上
歯並びを整えると咀嚼機能が向上します。 しっかり咀嚼できると、食事もおいしく感じられますし、消化吸収が促進されます。

発音の改善
発音は歯並びと舌の動きに大きく影響されます。歯並びを整えると、発音が改善される場合があります。

集中力アップ
噛み合わせがよくなり、正しく噛むことが脳細胞の活性化につながるといわれていて、情緒の安定や集中力アップが期待されます。

生涯の医療費の軽減
子供の頃からむし歯や歯周病を予防することで、生涯にかかる医療費が減るとされています。
また、矯正治療を受ける場合も、大人になってから受けるよりも、子供の頃に矯正治療を受けるほうが安価になるのが一般的です。
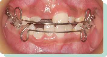
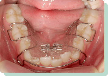
床矯正は、3歳からできる矯正で、床装置という入れ歯のようなものを固定源にして、歯を動かしたり、あごを拡大して、歯並びをきれいにし、かみ合わせを整えて行く矯正治療です。この治療は、あごの成長が止まるまでに治療を開始して問題を解消することが重要です。



床矯正装置の本体は入れ歯と同じプラスチックのプレートでできています。その内部には、スクリューやスプリングがついており、このスクリューを回すことでプレートを変化させて負荷を与え、ゆっくりあごや歯を動かし、歯並びを整えていきます。
床矯正による治療は大人の方でもできますが、あごの成長を利用するお子さまよりも治療に時間がかかります。
また、歯の症状によっては床矯正が適用できないことも。
部分矯正など、患者さまの症状にあわせて治療方法をご提案できますので、お気軽にお問合せください。
CASES








CONTACT
治療に関するお問い合わせ
来院前に少しでも不安要素を少なくできるよう、誠心誠意お答えしていこうと思います。
もちろん、来院されるされないは関係ありません。
どんな些細なことでも大丈夫ですよ。お気軽にお問合せ、ご相談ください。
ACCESS

